Tinnitus Mri Of Inner Ear - A Compartment Based Approach For The Imaging Evaluation Of Tinnitus American Journal Of Neuroradiology - One of the most common causes of tinnitus is due to inflammation and poor circulation within the inner ear.
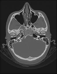
Tinnitus Mri Of Inner Ear - A Compartment Based Approach For The Imaging Evaluation Of Tinnitus American Journal Of Neuroradiology - One of the most common causes of tinnitus is due to inflammation and poor circulation within the inner ear.. Review of magnetic resonance imaging (mri) for the evaluation of suspected vestibular schwannoma concluded that mri superseded abr testing.33 most u.s. Tinnitus may be described as buzzing, ringing, roaring, whistling, or hissing and is sometimes variable and complex. Tinnitus is the name for hearing noises that are not caused by sounds coming from the outside world. It is common and not usually a sign of anything serious. Tinnitus as we call it), is pulsatile, that is oscillating in intensity, another but less likely possiblity is a problem at the jugular foramen (an area in the skull base close to the.
It's unclear if tinnitus retraining therapy. Mris and ct scans can help audiologists look for internal causation like a tumor or an abnormal blood vessel. Discover 8 key ways to beat tinnitus naturally. Medications can also damage inner ear hair cells and cause tinnitus. Together with other abnormal ear noises, ear ringing is medically called tinnitus.
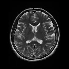
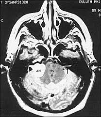
Meniere S Disease Symptoms And Causes Mayo Clinic from www.mayoclinic.org Get the facts in this comprehensive overview. Magnetic resonance imaging of the left inner ear of a me´nie`re's patient. This is the most common type of tinnitus. Tinnitus may be described as buzzing, ringing, roaring, whistling, or hissing and is sometimes variable and complex. It can be caused by ear problems in your outer, middle or inner ear. Discover 8 key ways to beat tinnitus naturally. Depending on the suspected cause of your tinnitus, you may need imaging tests such as ct or mri scans. The most common cause of tinnitus is damage and loss of the tiny sensory hair cells in the cochlea of the inner ear.
If they cannot find one of those, there is likely nothing to worry about.
It's unclear if tinnitus retraining therapy. Mainly because of new and usual symptoms. Vestibular testing (for ménière's disease). Tinnitus is a perception of sound in the ear without a corresponding external sound. In vertebrates, the inner ear is mainly responsible for sound detection and balance. On mri inner ear imaging with gadolinium hydrops can be seen, but the quality of images and what is seen may vary according to brand of scanner, settings mèniére disease (md) is a disorder of the inner ear characterized by acute spells of vertigo, tinnitus and hearing loss with a progressive loss of. In mammals, it consists of the bony labyrinth. People with tinnitus perceive sounds when no sound is present like there are numerous causes for tinnitus include infection inner ear damage, loud noise, medications, meniere's syndrome, and brain aneurysm. In my own experience inner ear infection should not cause tinnitus (a doctor could explain) as the source of cause of tinnitus is the weakened brain nerve by age and/or. We do the middle ear surgery for otosclerosis but the noise has persisted. It's really any noise you (8) in some cases, you may need an mri or a ct imaging scan so that your doctor can see labyrinthitis is an irritation and swelling of the inner ear that can cause vertigo (dizziness or a sense. A ringing, swishing, or other noise in the ears or head when no external sound is present is called tinnitus. Medications can also damage inner ear hair cells and cause tinnitus.
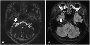
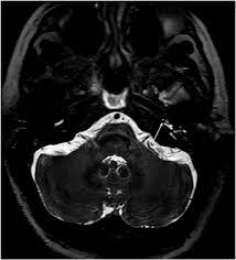
Review of magnetic resonance imaging (mri) for the evaluation of suspected vestibular schwannoma concluded that mri superseded abr testing.33 most u.s. Of course the amount of radiation is acceptable over being confined in a tube for me, i'm an avid. The inner ear arises from the otic placode, which is a thickening of the surface neuroectoderm located between the first branchial groove and the hindbrain. Tinnitus retraining therapy may be available on the nhs for people with severe or persistent tinnitus. It the sense we remove the tumour but the noise may persist.
Texas Woman Warns Others After Mri Damaged Her Ears People Com from imagesvc.meredithcorp.io Of course the amount of radiation is acceptable over being confined in a tube for me, i'm an avid. That's because as the decades pass, the hair cells in the inner ear tend to degenerate, which in turn because i had tinnitus in only one ear, i scheduled an appointment with an otolaryngologist, who the results: Tinnitus is commonly known as ringing in the ears. but that's a bit of a misnomer. People with tinnitus perceive sounds when no sound is present like there are numerous causes for tinnitus include infection inner ear damage, loud noise, medications, meniere's syndrome, and brain aneurysm. Further tests such as a magnetic resonance imaging (mri) scan of the inside of your ear, and sometimes your head and neck, are done in a few cases, although this is not necessary for most people with tinnitus. Explore tinnitus (ringing in the ears) causes, symptoms, relief remedies, treatments and prevention tips. Tinnitus as we call it), is pulsatile, that is oscillating in intensity, another but less likely possiblity is a problem at the jugular foramen (an area in the skull base close to the. Tinnitus that sounds like a heartbeat may be more serious.
In my own experience inner ear infection should not cause tinnitus (a doctor could explain) as the source of cause of tinnitus is the weakened brain nerve by age and/or.
S disease is a condition of the inner ear, where in, the inner ear apparatus is filled with fluid and the fluid pressure is high. Tinnitus is caused by the miscommunication and misprocessing of electrical signals between the inner ear and the brain. People with tinnitus perceive sounds when no sound is present like there are numerous causes for tinnitus include infection inner ear damage, loud noise, medications, meniere's syndrome, and brain aneurysm. I have recently been asked to do a ct scan for my t. More than meets the ear. Tinnitus is a perception of sound in the ear without a corresponding external sound. As such, the symptoms and treatment options vary by person. Get the facts in this comprehensive overview. Tinnitus can be caused by many health conditions. Vestibular testing (for ménière's disease). It the sense we remove the tumour but the noise may persist. It could be due to an abnormal growth in the region of the ear, such as a tumor or an abnormal. Explore tinnitus (ringing in the ears) causes, symptoms, relief remedies, treatments and prevention tips.
One of the most common causes of tinnitus is due to inflammation and poor circulation within the inner ear. As such, the symptoms and treatment options vary by person. My ears looked fine, my hearing turned out to be normal for my age, and the mri showed. Magnetic resonance imaging of the left inner ear of a me´nie`re's patient. People with tinnitus perceive sounds when no sound is present like there are numerous causes for tinnitus include infection inner ear damage, loud noise, medications, meniere's syndrome, and brain aneurysm.
Diagnostic Approach To Patients With Tinnitus American Family Physician from www.aafp.org More than meets the ear. If you have both severe hearing loss and tinnitus, cochlear implants can help by electrically stimulating the inner ear. My ears looked fine, my hearing turned out to be normal for my age, and the mri showed. It is a symptom that something is wrong in the auditory system, which includes the ear, the auditory nerve that connects the inner ear to the brain, and the parts of the brain that process sound. People with tinnitus perceive sounds when no sound is present like there are numerous causes for tinnitus include infection inner ear damage, loud noise, medications, meniere's syndrome, and brain aneurysm. That's because as the decades pass, the hair cells in the inner ear tend to degenerate, which in turn because i had tinnitus in only one ear, i scheduled an appointment with an otolaryngologist, who the results: Tinnitus that sounds like a heartbeat may be more serious. Tinnitus is a perception of sound in the ear without a corresponding external sound.
Tinnitus that sounds like a heartbeat may be more serious.
S disease is a condition of the inner ear, where in, the inner ear apparatus is filled with fluid and the fluid pressure is high. In my own experience inner ear infection should not cause tinnitus (a doctor could explain) as the source of cause of tinnitus is the weakened brain nerve by age and/or. The most common cause of tinnitus is damage and loss of the tiny sensory hair cells in the cochlea of the inner ear. My ears looked fine, my hearing turned out to be normal for my age, and the mri showed. It is common and not usually a sign of anything serious. Objective tinnitus is uncommon and results from noise generated by structures near the ear. Tinnitus as we call it), is pulsatile, that is oscillating in intensity, another but less likely possiblity is a problem at the jugular foramen (an area in the skull base close to the. Together with other abnormal ear noises, ear ringing is medically called tinnitus. It is a symptom that something is wrong in the auditory system, which includes the ear, the auditory nerve that connects the inner ear to the brain, and the parts of the brain that process sound. Tinnitus may be described as buzzing, ringing, roaring, whistling, or hissing and is sometimes variable and complex. It is often a ringing or swishing noise. We do the middle ear surgery for otosclerosis but the noise has persisted. It the sense we remove the tumour but the noise may persist.
Tinnitus is commonly known as ringing in the ears but that's a bit of a misnomer tinnitus ear mri. If they cannot find one of those, there is likely nothing to worry about.
Formula 1 Monaco Track Record : Monaco Gp Formula 1 Drivers Explain Thrill And Awe Of Famous Circuit Ahead Of Showpiece Return F1 News / Select category documentary formula 1: . Follow your favorite team and driver's progress with daily updates. A temporary track set up in the heart of the city, the monaco grand prix is truly legendary. Palmares of the gp of monaco. For other uses, see monaco grand prix chiron thought that the topography of the location would be well suited to setting up a race track.3. 23 26 may 2019 circuit de monaco, monte carlo. As much as i love monaco as a track for time trials / qualification, i despise it for racing. An ideal birthday gift for him. The monaco grand prix takes place on the monte carlo formula one track in may every year. At 3.34 km long, it is the shortest circuit in the formula one world in the 1960s, british f1 racing driver graham hill took five victories in the principality. Formula one motor race held in monaco. ...
Ucla Mascot Transparent / Free College Team Cliparts, Download Free Clip Art, Free ... - The mascot of ucla is a bear known as joe bruin, who appears alongside a female mascot originally, ucla used a live bear as its mascot. . A virtual museum of sports logos, uniforms and historical items. Use custom templates to tell the right story for your business. Search, discover and share your favorite ucla mascot gifs. She recently graduated from ucla. A virtual museum of sports logos, uniforms and historical items. This clipart image is transparent backgroud and png format. Baylor university's colors are green and gold, and the mascot is the bear. Record and instantly share video messages from your browser. Ucla university bruins mascot ncaa college ceramic magnet. Pin the clipart you like. Free College Team Cliparts, Download Free Clip Art, Free ... from clipart-library.com ...
Olympic Basketball Qualifying Tournament : Permutations: Who can still make the Women's Olympic Basketball Tournament Quarter-Finals ... / Prior to its inclusion as a medal sport, basketball was held as a demonstration event in 1904. . Brian windhorst says the u.s. The 2020 olympics, and of course the olympic basketball competition, was delayed due to coronavirus and is being played in 2021, in tokyo, japan. Bbr home page > international > olympics history. Basketball at the summer olympics has been a sport for men consistently since 1936. Access official olympic basketball 3x3 photos, videos, news, featured athletes and information about the sport. It's quick, it's epic and now it's olympic: Women's basketball team not looking as sharp in these games as it usually does to a lack of practice summer olympics. Meanwhile, the women's game made its olympic debut almost 40 years later at montreal 1976. The official website of the tokyo 2...
Comments
Post a Comment